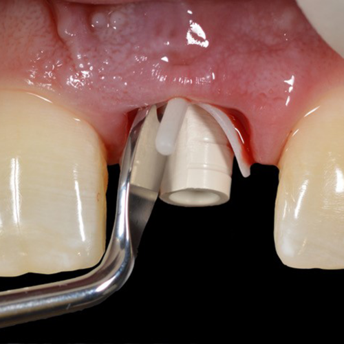
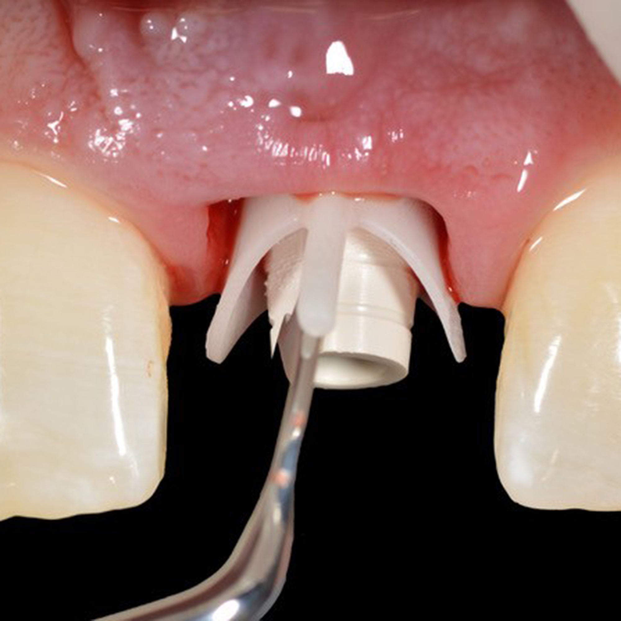
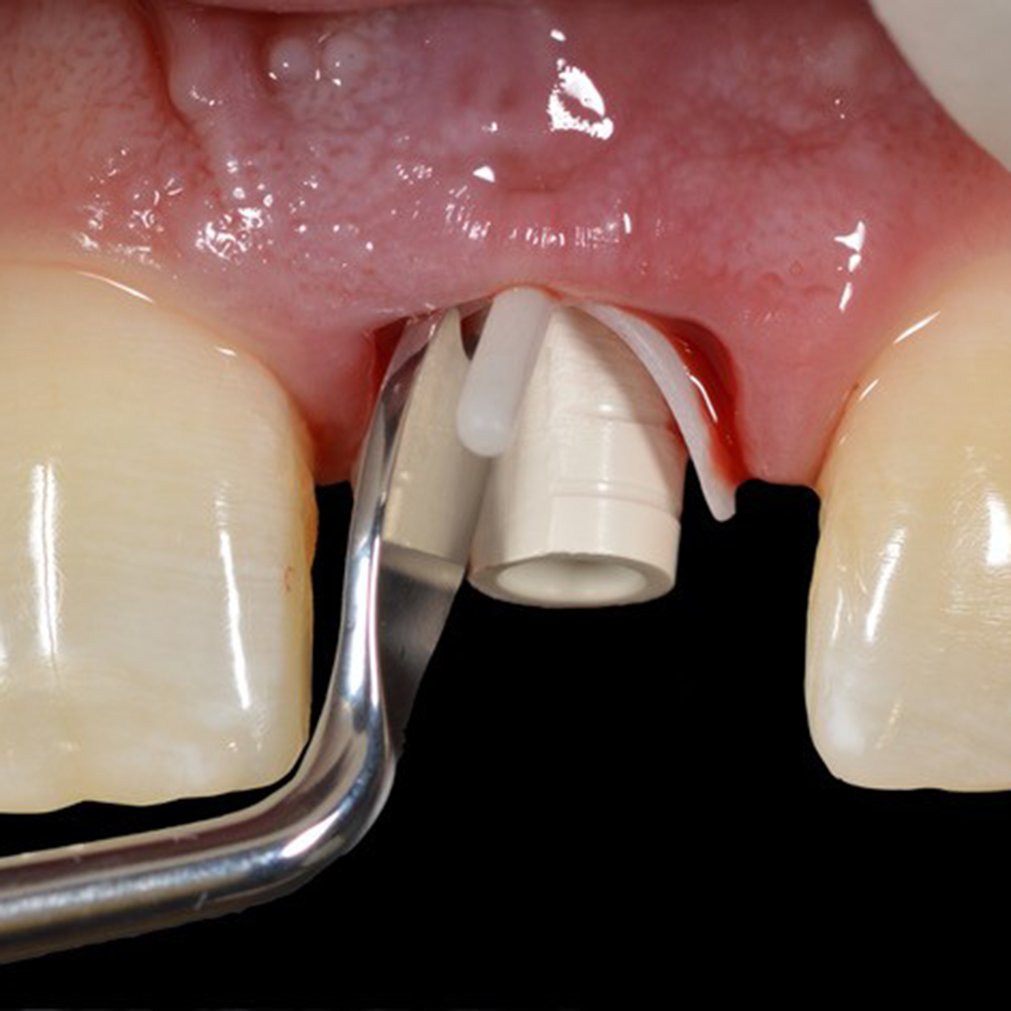
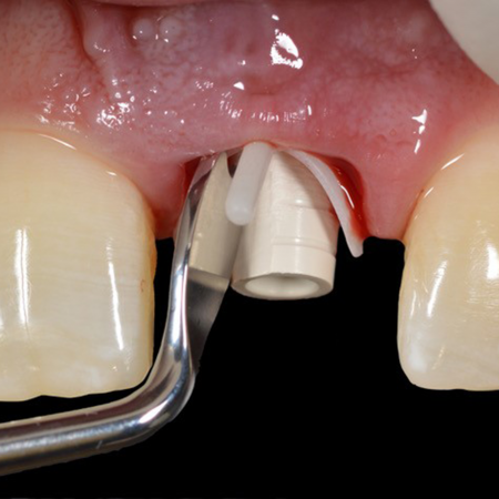
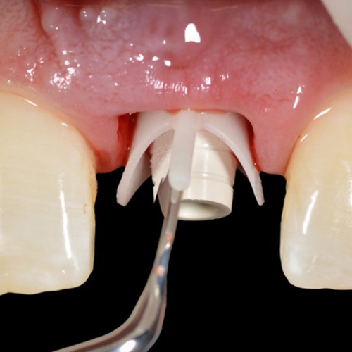
Chu Prosthetic Placement Instrument Chu Prosthetic Placement Instrument Sign in to save to your list PPIS Specialty instrument for prosthetic device placement. Where to Buy Ask a specialist