TCAF x HUFRIEDYGROUP
A truly unique, yet comprehensive kit specifically designed for whenever the delicate art of soft tissue manipulation is needed. A kit that also allows for the employment of the Coronally Advanced Flap and Tunnel techniques, and their combination approach: the Tunneled Coronally Advanced Flap (TCAF).
Tunneled Coronally Advanced Flap Kit
Product |
SKU |
|---|---|
| TCAF 16-Instrument Infinity Series™ Cassette | IMN41637CF |
| Tunneling Knife 1 | TKN1 |
| Tunneling Knife 2 | TKN2 |
| Pink Matters™ Tunneling Knife | PMNANOSS |
| Modified Buser/Hourigan Periosteal, Large Black Line | PPBUH2MX |
| Micro Corn Suture Pliers, Diamond Dusted | SP20SLEM |
| Microsurgical Scalpel Handle | SHDPV |
| 5 European Scalpel Handle | 10-130-05E |
| #17 Dressing Pliers (Utility Pick-Up) | DPU17 |
| #5 Single-Sided HD Black Line Mirror, Cone Socket | MIR5HDB |
| #5 Single-Sided HD Black Line Mirror, Cone Socket | MIR5HDB |
| Cone Socket Black Line Mirror Handle, Satin Steel™ Handle | MH6B |
| Cone Socket Black Line Mirror Handle, Satin Steel™ Handle | MH6B |
| Probe UNC #UNC15 CH Hdl Qulix, 1-15 | PCPUNC15CH |
| #1/2 Mini 5 Gracey Curette, #9 EverEdge™ 2.0 Handle | SAS1/29E2 |
| Microsurgical Scissor Steel, Swiss Perio | SPSPV |
| Microsurgical Anatomical Tissue Pliers, Straight, Steel | TPDAPV |
| Microsurgical Needle Holder | NHDPV |
| Iris Super Cut Curved Scissors | S18SC |
| Allen Membrane Measurement Card | ALLENCARD |
| Tunneled Coronally Advanced Flap Kit | TCAFKIT |
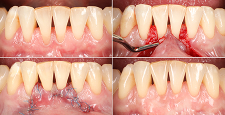
Case 1

Treatment of maxillary anterior gingival recessions with the
Tunneled Coronally Advanced Flap (TCAF) and an allogenic dermal matrix.
To minimize patient morbidity, enhance flap blood supply and vasculature to the graft, only one papilla was incised and a single vertical incision was performed. This way, the graft can be easily inserted underneath the flap and stabilized to the periosteum and to the de-epithelialized papilla. At the same time preservation of the integrity of the more anterior papillae - that were tunneled - enhances the esthetic outcomes.
Case 2
Treatment of challenging mandibular anterior recessions with attachment loss, rotated teeth and deficient papillae, with the Tunneled Coronally Advanced Flap (TCAF) and connective tissue graft.
This prevents the need to place an incision on the fragile papilla between the central incisors and allows the soft tissues to be tunneled in that region. Whereas, on the bulkier and larger papillae distal to both centrals, incisions are performed in order to obtain enhanced flap release, reinforce graft stabilization, and the possibility to better immobilize the flap by engaging the periosteum in the process of suturing the vertical incisions, thus obtaining a vertically and coronally positioned flap.
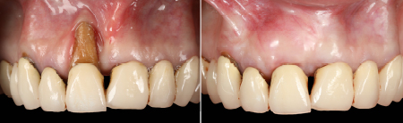
Case 3
One of the key factors of any successful regenerative procedure is intricate management and manipulation of the soft tissues, which protect the augmented site during the vital healing phase. This shows a case of a vertical bone augmentation around a previously diseased dental implant, which relies heavily on the use of minimally invasive techniques, and less invasive instruments.
Case 4
A challenging severe gingival recession treated with a laterally moved coronally advanced flap in combination with a connective tissue graft. As with soft tissue grafting procedure, the key delicate management of the flap is key in performing a successful surgical therapy.
Tunneled Coronally Advanced Flap: Key Instruments
Versatile instruments to streamline efficiency throughout minimally invasive periodontal and implant surgeries.


